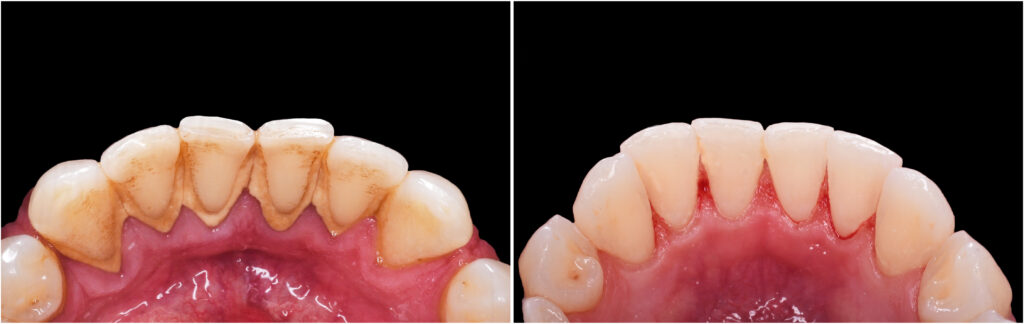
Professionelle Zahnreinigung in Emmenbrücke

Unsere Dentalhygienikerinnen und Prophylaxeassistentin entfernen gründlich Plaque, Zahnstein und Verfärbungen und reinigen schwer zugängliche Stellen, die beim täglichen Zähneputzen nicht erreicht werden.

 

Unsere Leistungen für Sie

Wir bieten Ihnen umfassende zahnmedizinische Betreuung, von der Prophylaxe über ästhetische Zahnheilkunde bis hin zu komplexen Behandlungen. Mit modernen Technologie und viel Feingefühl kümmern wir uns um Ihre Zahngesundheit. Ob Beratung, Behandlung oder Nachsorge: Bei uns stehen Sie im Mittelpunkt.

Individuelle Beratung

Wir legen grossen Wert auf eine persönliche und individuelle Beratung, um auf Ihre speziellen Bedürfnisse und Wünsche einzugehen. In unserer Zahnarztpraxis nehmen wir uns Zeit, um gemeinsam mit Ihnen die besten Lösungen für Ihre Zahngesundheit zu finden, sei es für eine Behandlung, Prävention oder Ästhetik.

Wir freuen uns darauf, Sie kennenzulernen und bestmöglich zu betreuen!

 

Öffnungszeiten

Mo – Do
07.00 – 11.00
12.00 – 16.00

Freitag
07.00 – 14.30

 

Telefonnummer
+41 41 260 94 94

Unsere E-Mail-Adresse
info@zahnarztpraxis-emmenbruecke.ch

zahnarztpraxis-emmenbruecke@sso-hin.ch